〈混雑状態〉
待ち組数:
--
組
待ち時間:
--
待ち時間は
受診内容で変わる
場合がございます
手術中の場合
は待ち時間が
長く
表示されます
ホーム
お悩みコーナー
施術メニュー
施術料金
アクセス
Q&A
ご挨拶
WEB 予約
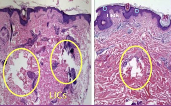
LIBO-VS-LICSpng
公開日:
2025年12月6日
LIBO VS LICSpng
投稿ナビゲーション
LIBO-VS-LICSpng
星の原クリニック公式サイト
TOP
LIBO-VS-LICSpng
Back to Top ↑