
ピコフラクショナルレーザー Resolveとは?仕組み・特徴

ドット状のレーザー
Resolveはドット状に出るレーザーです、一般的には炭酸ガスフラクショナルピコレーザーが有名ですがダウンタイムが問題でした、Resolveはその問題を解決すべくメーカーが開発しました。
表皮を温存し【空洞】を作ります
均一なマイクロビームを真皮内に集光し、プラズマを形成。その爆発的な膨張が衝撃波となり、周囲へ熱影響を伴わない機械的な微小空間を生成します。
二種類あります
532nmと1064nmの2種類の性質の異なるフラクショナルピコレーザーが出力可能です、532nmは実用的ではありませんでした。
真皮のリモデリング(Resolveの本質)
Resolveは新しい機材でした、メーカーは当初いろいろな効果を謳っていましたが、長い間使用して判った事は、真皮のリモデリングによる肌の若返り効果でした。

2つのハンドピース 1064nm vs 532nmの違い(作用部位・効果)
シミに関してはリゾルブは即効性はありません、皮膚の土台を修復して、シミのできにくいお肌にします。
メーカーのシネロンキャンデラはResolveのメラニンに反応する532nmハンドピースの推していますが、リゾルブ真骨頂は1064nmによる真皮のリモデリングと思います。
532nmのResolve
532nmのリゾルブでは皮膚の浅い層の表皮のメラニンに反応して、小さい空胞(LIBO)を形成します、ここより深い層にはレーザーはほとんど反応しません。

1064nmのResolve
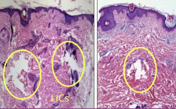
1064nmのリゾルブでは皮膚の深い層の真皮の水分や赤血球の赤に反応して、大きな空胞(LICs)を形成します、ここより浅い表皮にはレーザーはほとんど反応しません。

作用部位の違い
532nmと1064nmでは反応する深さや面積が全く異なり、下の写真で表層の小さい青い丸が532nmリゾルブで出来るLIBOsの深さと面積です。一方、黄色い丸の中の大きな亀裂が1064nmのLICsです、レーザー治療で反応する面積が全く違います。

症例写真:小じわ・肌質・シミ・ニキビ跡(リゾルブ)
片顔テスト
(右:3回治療・左:未治療)
治療効果を見るためハーフサイドテストを行いました(左)未治療・(右)3回治療。

目尻シワ:
右⇒2回治療・左⇒未治療
目尻の小皺にも良く効いています。ヒアルロン酸注射に比べてダウンタイムは少なく、治療効果も高いです。ボトックスと異なり表情に影響を与えません。従来の他のレーザー治療と比べて治療効果が早く出てダウンタイムが少ないのが特徴です。

眉間の深いシワ
眉間の深いシワです、長年のシワの影響で痕になっているため、ボトックス、ヒアルロン酸注射を行いましたがほとんど改善しなかった眉間の固いシワです、ダメ元でリゾルブ照射しました、期待以上に改善しました。
【リスク】熱傷・びらん・色素沈着・瘢痕
【治療間隔・回数】1〜3ヶ月に3回
【施術料金】両頬3回コースで48,000円(現在は両頬コースは行っていません)
左頬のニキビ痕
頬のニキビ瘢痕に対するResolveの治療です、5回照射しました、ニキビ瘢痕治療には高出力で照射します、赤みが強く出ますが炎症性色素沈着・PIHなど大きな合併症が起こったことはありません。
【リスク】熱傷・びらん・色素沈着・瘢痕
【治療間隔・回数】1〜3ヶ月に1回で5回
【施術料金】両頬5回コースで102,000円(現在は両頬コースは行っていません)
右頬のニキビ痕 10回照射
Resolveを10回行いました、ニキビ跡は完全には消えませんが凹凸は改善しています、深いニキビ跡に対しては現在はTCAクロスを行っています。
【リスク】熱傷・びらん・色素沈着・瘢痕
【治療間隔・回数】1〜3ヶ月に1回で10回
【施術料金】方頬10回で102,000円(現在は片頬コースは行っていません)

POTENZA、シルファームXとの違い
POTENZA、シルファームXはマイクロニードルRF(MNRF)という機械です、肌質改善・肝斑治療にも使われ人気のある施術です、双方とも多数の細い針を皮膚に刺して、真皮の深さで組織を熱変性させます。ピコフラクショナルレーザー・Resolveは針を使わず同じ概念の治療を行います。
リゾルブ&ジェネシスレーザーの特徴
- MNRFと同じ治療概念を針を使わず可能
- MNRFで目指す治療層(真皮と異常血管)にアプローチ可能
- 消耗品が不要なため、施術コストを抑えることが可能
MNRFの効果
- 真皮のリモデリング
- 基底膜を含む皮膚の土台の環境改善を目的にします
- 真皮の異常血管の縮小・消失
Resolveの効果
- 真皮のリモデリング
- 肌の土台(基底膜・真皮)の状態改善
ジェネシスレーザーの併用
| potenza/シルファーム | Resolve/Genesis | |
|---|---|---|
| 痛み | 麻酔がいる、 ほぼなし〜から激痛までさまざま、 シルファームの方が痛みが少ない傾向 |
麻酔がいらない 痛みは軽度 |
| ダウンタイム | 細い針を使うので 2〜3日腫れ・熱感 | 針を使わないので短い 1〜2日赤み・熱感 |
| 消耗品 | あり | なし |
| 施術費用 | 消耗品があるので高コスト | 消耗品がないので低コスト |

リゾルブのシミ治療
シミの出来にくいお肌に
リゾルブのシミ治療はメラニンに直接作用するのではなく、真皮や基底膜などのお肌の土台を修復します、お肌の土台が良くなるとシミが出来にくいお肌になります。
ピコフラクショナルとシミ治療の位置づけ
532nmが狙ったもの(メラニン)と限界ピコフラクショナルレーザーのシミ治療の始まりはキュテラ社の755nmピコフラクショナルレーザーの肝斑治療がおそらく世界初で、シネロンキャンデラのピコフラクショナルでは後発になります。532nmが狙ったもの(メラニン)と限界
シネロンキャンデラは532nmのピコフラクショナルレーザーでメラニンをターゲットにシミ治療を狙った形跡がありますが実際は、【痛くて効果も良くわからない】でした、その後メーカーは532nmの改良版を開発しましたが....1064nmで起きること(真皮・基底膜)
発売当初1064nmのピコフラクショナルレーザーの治療原理が良くわかっていませんでしたが、【肌質が良くなる、時間がかかるがシミも薄くなる】ことが判っていました。近年の研究でそれが真皮のリモデリングと基底膜の状態改善と分かりました。真皮のリモデリング(1064nm リゾルブ)
皮膚の深い部位の真皮が老化や紫外線でダメージを受けると
- 真皮の様々な細胞から大切なバリヤー基底膜を破壊する酵素を分泌します
- 傷んだ真皮の様々な細胞が表皮にいる色素細胞へシミ作るよう指示する信号を送ります
- 真皮をリモデリングすることでシミが出来にくい、シミが自然に消えやすい皮膚になります
- 1064nmのリゾルブはこの真皮のリモデリングを行います

リゾルブの肝斑治療
肝斑は多因子ですが、近年は表皮だけでなく①基底膜②真皮の慢性炎症・老化③血管要素が関与するという考え方があります、①基底膜の破壊②真皮の老化・損傷③異常な毛細血管です、リゾルブは①②に対応し傷んだ基底膜の状態改善と真皮のリモデリングを行います。
しかし、リゾルブは直接肝斑のシミに作用しないので、治療効果を高めるため多くの場合メラミンに作用するレーザー・ピコトーニングや【トレチノイン・ハイドロキノン外用薬】を併用します。
肝斑の主な原因?
①紫外線、②ホルモンバランス、③物理的剌激などと考えられていました、しかし肝斑の真の要因は実は皮膚の表面だけでなく、もっと皮膚の深い部位の異常が原因でした。真の肝斑の原因
肝斑発生の根本には、真皮で起きている「3つの負の連鎖」が存在します。- 基底膜の破壊
- 真皮の異常な血管新生
- 慢性的炎症と細胞老化
悪循環
これら3つの要因が相互に影響し合いメラノサイトを刺激し続ける悪循環を生み出しています。
リゾルブのニキビ跡治療(適応・限界・併用)
深くない凹型のニキビ跡治療に適しています、深いニキビ跡に関しては【TCAクロス】【サブシージョン】【ジェネシスレーザー】の併用治療がリゾルブより治療効果が高く、痛みも少ないです。



リゾルブの痛み・ダウンタイムについて
- 軽度の発赤と浮腫みがが出現します。
- メイクに制限はございません。
- 照射はやや痛いです、痛みに敏感な方は麻酔クリームを使用します。
- 複数回の治療が必要です。
- 効果は1~2ヶ月後に現れます。
照射直後の赤み【小じわ・シミ】(標準の強さ)
メーカーの設定より、やや強めに照射したほうが小皺などに対する治療効果が高く、強く打ちますとやや痛いです。ただし、ニキビ跡照射ほど強く照射しませんので、直後からメイクもかのうです。
照射直後の赤み【ニキビ跡】(強い照射)
ニキビ跡に対しては、【小じわ・シミ】の時の照射より、強く照射します、ニキビ跡の方は、通常皮膚が厚いので、より強く照射しないと効果があまり出ません、赤みは1〜2週間でる事があります、現在は深いニキビ跡にはTCAクロスを勧めています。

リゾルブの施術料金(税込み)
| リゾルブ(全顔)+ パック | 施術料金(税込) |
|---|---|
| 単回 | ¥29,200 |
| 5回コース | ¥137,500 |
| 10回コース | ¥265,500 |
| リゾルブ肝斑コース(両頬) リゾルブ+ジェネシス |
施術料金(税込) |
|---|---|
| トライアル | ¥29,200 |
| 単回 | ¥34,800 |
| 5回コース | ¥137,500 |
| 10回コース | ¥265,500 |

ピコフラクショナルレーザー・Resolveの Q&A
Resolve(リゾルブ)とはどのような治療ですか?
Resolveはドット状に出るピコレーザーの一種です,。均一なマイクロビームを真皮内に集光し、プラズマを形成します。その爆発的な膨張が衝撃波となり、周囲へ熱影響を伴わない機械的な微小空間(空洞)を真皮内に生成します。特殊な技術により皮膚の表面には傷をつけません
Resolveの主な効果や目的は何ですか?
Resolveは皮膚の表面を温存しつつ、真皮に作用することで真皮のリモデリングを促し、肌の若返り効果をもたらします。
①肌質改善や
②小じわの改善
③ニキビ跡の改善効果
④シミの改善
Resolveの本来の目的は皮膚の再生と入れ替えであり、⑤シミのできにくい肌になります。
Resolveにはどのような種類があり、作用部位は異なりますか?
532nmと1064nmの2種類の性質の異なるハンドピースがあります。
532nmのResolveは、皮膚の浅い層(表皮)のメラニンに反応して、小さい空胞(LIBO)を形成します。しかし、深い層にはほとんど反応せず、あまり実用的ではありませんでした。
1064nmのResolveは、皮膚の深い層(真皮)の水分や赤血球の赤に反応し、大きな空胞(LICs)を形成します。浅い表皮にはレーザーはほとんど反応しません。当院では、真皮のリモデリングを行う1064nmのリゾルブが真骨頂であると考えています
シミ治療において、Resolveはどのように作用しますか?
Resolveのシミ治療は、メラニンに直接作用するのではなく、真皮や基底膜の状態改善を介して二次的にシミを薄くします。近年の研究により、1064nmのピコフラクショナルレーザーの作用は、真皮のリモデリングと基底膜の状態改善作用であることが判明しました。
肝斑治療におけるResolveの役割は何ですか?
肝斑の根本的な原因とされる
①基底膜の破壊
②真皮の老化・損傷
③異常な毛細血管
上の3つの中でResolveは①基底膜の状態改善と②真皮のリモデリングを行うことで対応します。
ただし、リゾルブは肝斑のシミに直接作用しないため、治療効果を高める目的で、メラニンに作用するピコトーニングや【トレチノイン・ハイドロキノン外用薬】を併用する場合が多くあります。
Q6: ニキビ跡の治療に適していますか?
深くない凹型のニキビ跡治療に適しています。1064nmのハンドピースを使用し、表皮を傷つけずに真皮のリモデリングを行うことで、ニキビ跡の凹凸改善を目指します。ニキビ瘢痕治療では高出力で照射するため、赤みが強く出ますが、炎症性色素沈着(PIH)などの大きな合併症は起こったことはありません。ただし、深いニキビ跡に関しては、【TCAクロス】や【サブシージョン】【ジェネシスレーザー】の併用治療の方が、治療効果が高く痛みも少ないとされています
痛みやダウンタイムはどの程度ありますか?
照射はやや痛みを感じる場合があります。痛みに敏感な方には麻酔クリームを使用することがありまが、ニキビ跡モードでなければ麻酔無しで施術されることが多いです、針を刺さないのでポテンザやシルファームXより痛みが少ないです。
•ダウンタイム:照射直後には軽度の発赤と浮腫みが出現します。
→ 小じわ・シミ治療(標準の強さ):照射直後からメイクが可能です。
→ニキビ跡治療(強い照射):照射が強いため、赤みが1〜2週間でることがあります
治療間隔と回数、効果が現れる時期について教えてください。
治療間隔は1〜3ヶ月に1回が推奨されています。複数回の治療が必要です。Resolveは即効性がなく、効果は施術後1~3ヶ月後に出てくることが特徴です。
他の美肌治療(POTENZAやシルファームX)との違いは何ですか?
POTENZAやシルファームXはマイクロニードルRF(MNRF)という機器です。MNRFの効果(真皮のリモデリング、基底膜の状態改善、真皮の異常血管の縮小・消失)のうち、Resolve(1064nm)は真皮のリモデリングと基底膜の修復においてMNRFと同じ治療概念を針を刺さずに出せます。そのため、Resolveの方が痛くありません。異常血管の減少については、当院ではジェネシスレーザーを使用するため、1064nm Resolveとジェネシスレーザーの組み合わせは、痛みが少なく、より高い効果が期待できるとされています。
施術料金(全顔コース)を教えてください。
全顔コース(リゾルブ+パック)(税込み)。
• 単回料金:¥29,000
• 5回コース:¥137,500
• 10回コース:¥265,500
肝斑セット
リゾルブ+ジェネシス(両頬):
•トライアル:¥29,200、
•単回料金:¥34,800
•5回セット:¥137,500
•10回セット:¥265,500

シミ取り治療の関連リンク
シミのトップページ 局所のシミ・日光性色素斑 細かいシミ 本気の肝斑治療 ADM 脂漏性角化症 ホクロ シミのスポット治療 レーザー・ピコトーニング シミバスターコース 選べる5回コース トータルケアコースピコレーザーは万能か? ピコフラクショナルレーザー Resolve 肝斑マルチパス照射 PIHに対するマルチパス照射 炎症性色素沈着(PIH) ピコレーザーの出力について VISIA 肌質診断機



